이바른치과교정과치과

이바른치과교정과치과 자동차보험

이바른치과교정과치과_자동차보험

이바른치과교정과치과는
자동차보험 치과진료가 가능합니다.

방문전 네이버 혹은 전화예약 후 방문 부탁드립니다.
보험회사 담당자에게 ‘교통사고환자 진료비 지급보증서’를 치과에 팩스로 전송해 달라고 하십시오.
( 이바른치과 팩스번호 : 052 – 286 – 1515 )
지급보증서의 접수번호, 지급보증번호, 보상한도 등을 확인하고 환자분과 상담 후 치료를 진행하게 됩니다.
교통사고가 원인인 항목만 자동차보험으로 치료 가능합니다.
모든 자동차보험 회사 가능합니다.
비용은 지급보증이 무한인 경우 환자분 부담금이 없으며, 치과측에서 보험회사에 청구해 받게 됩니다.

이바른치과교정과치과 자동차 보험 치료 가능항목

이바른치과교정과치과
자동차 보험 치료 가능항목

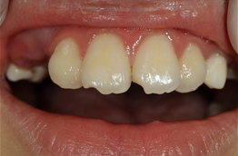
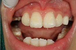
파절된 치아, 금 간 치아의 신경치료, 레진, 크라운

치료전

이바른치과교정과치과_파절된치아치료전

치료후

이바른치과교정과치과_파절된치아치료후

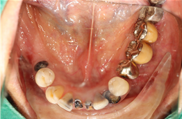
탈락된 치아의 임플란트

치료전

이바른치과교정과치과_임플란트

치료후

이바른치과교정과치과_임플란트치료후

흔들리는 치아의 강선고정과 제거

이바른치과교정과치과_강선고정

턱관절 염좌가 있을 때 물리치료, 턱관절 스플린트

이바른치과교정과치과_턱관절치료

오시는길

울산광역시 북구 박상진 13로 3, 3층 몸바른의원 옆

주차시설

컴포즈 커피 옆 지하주차장 입구를 이용해주세요.

대중교통

112, 142, 225, 236, 412, 482

예약상담

052 - 251 - 2875

진료시간

월, 화, 금 10:00 - 19:00
수요일 (오전 휴무, 야간 진료) 14:30 - 21:00
토요일 09:00 - 15:00
점심시간 13:00 - 14:30
매주 목요일, 일요일 및 공휴일은 휴무입니다.
토요일은 점심시간 없이 진료합니다.

오시는길

울산광역시 북구 박상진 13로 3, 3층 몸바른 의원 옆

주차시설

건물내 주차장 이용

대중교통

112, 142, 225, 236, 412, 482

예약상담

052 - 251 - 2875