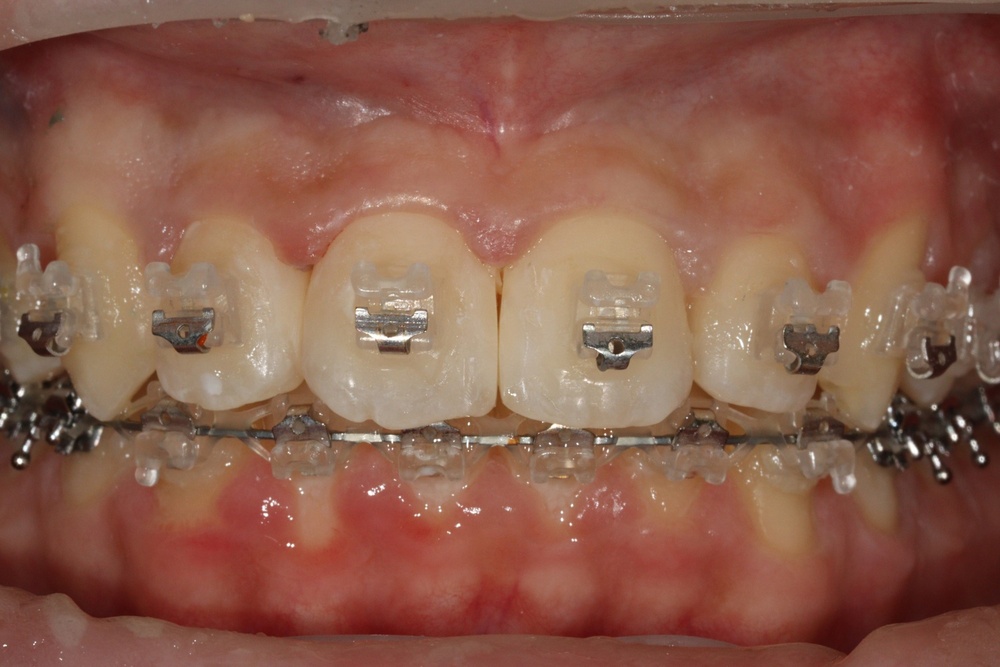
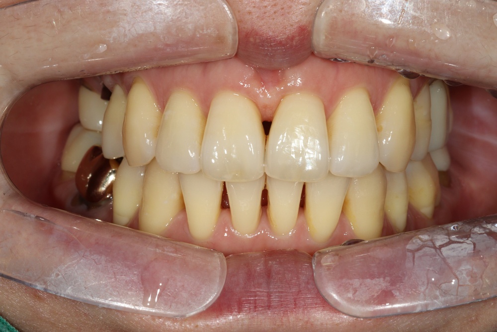
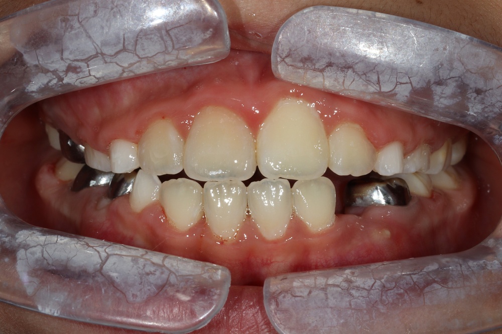
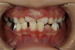
40대의 환자분으로, 앞니가 비뚤어서 코로나가 끝났을 때 마스크를 벗고 웃고 싶다고 하셨습니다.
충치가 많아서 교정 전 충치치료를 전반적으로 시행하고, 잇몸치료도 진행하였습니다.
중년기 교정에서 발생가능한 문제점(치아 사이 틈 발생가능성, 잇몸질환)충분히 설명드리고 시작하였습니다.
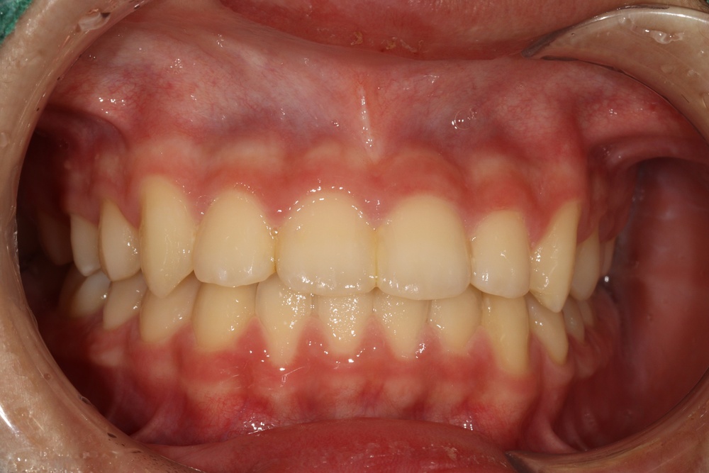
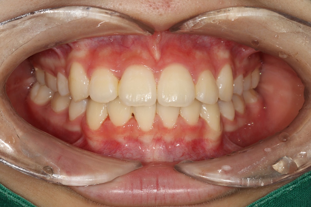
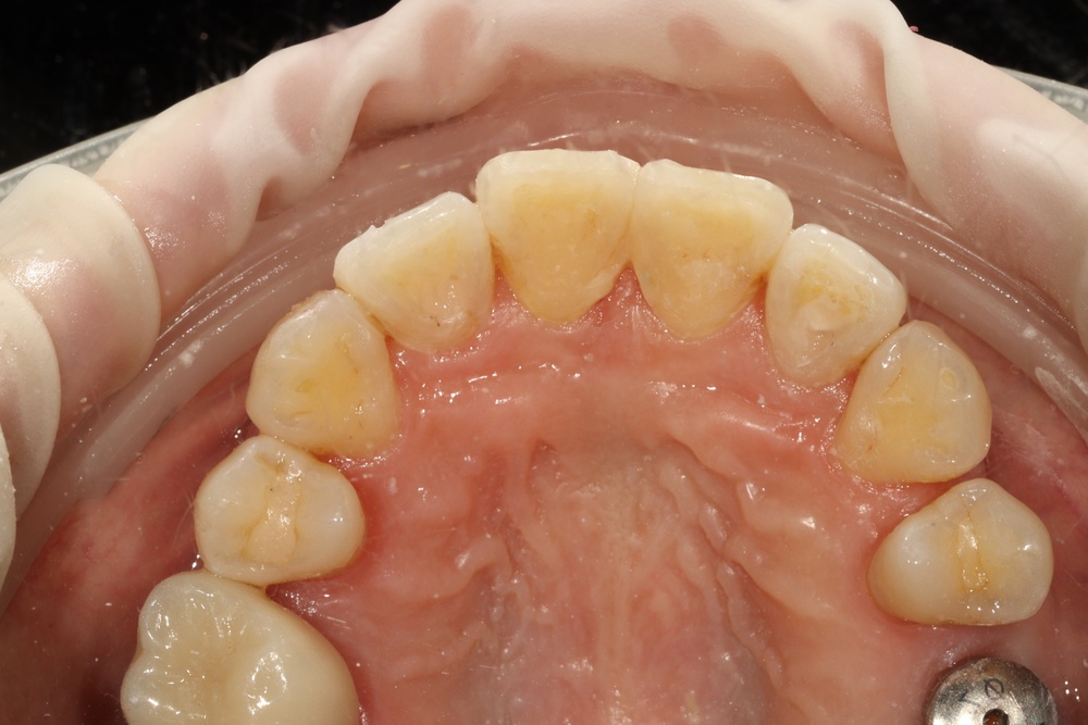
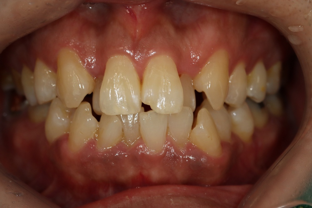
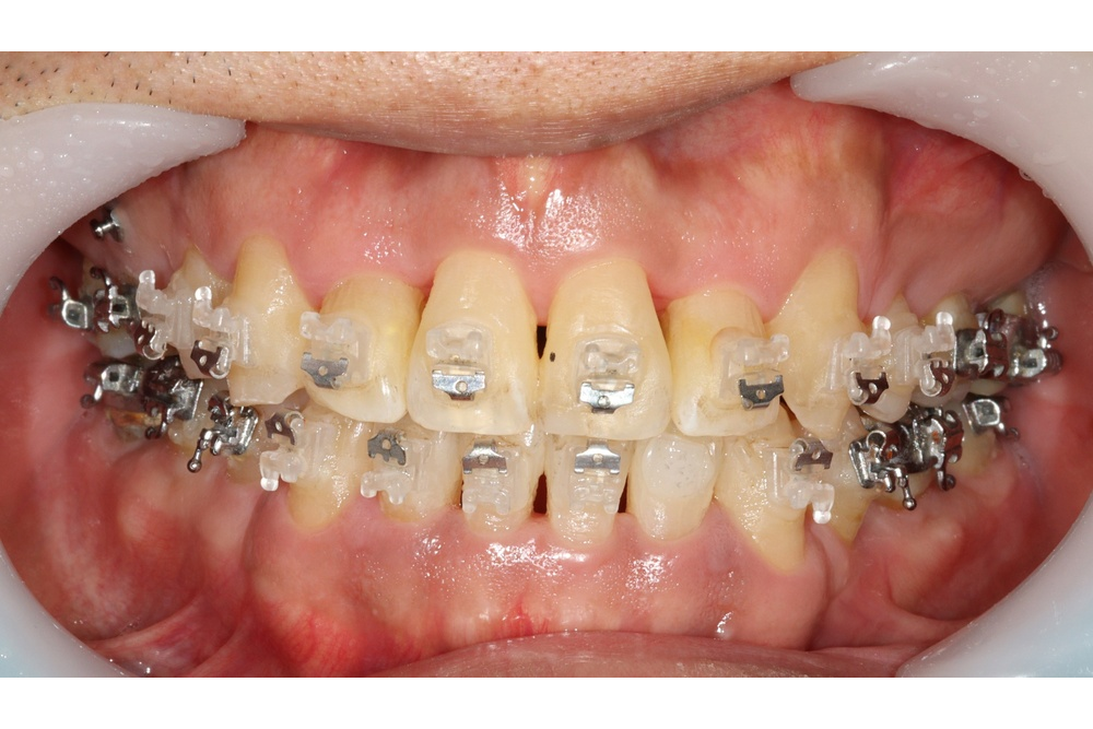
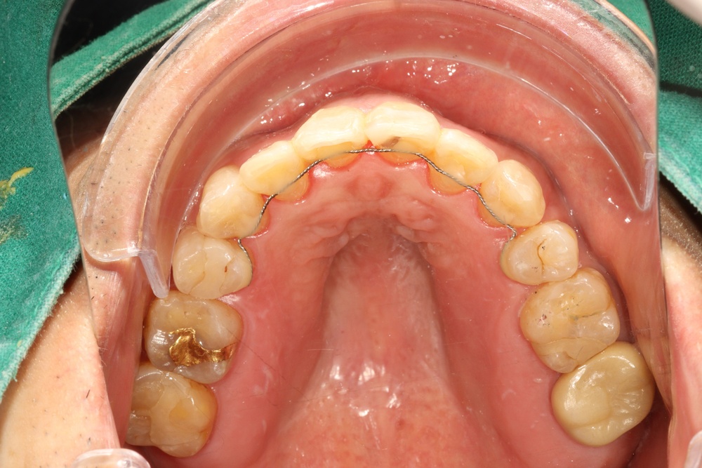
치아 배열이 거의 완성된 상태로 치료 전 말씀드렸던 치아사이의 틈(블랙트라이앵글)이 있습니다.
환자분과 상의 후 위쪽은 벌어진 공간을 레진으로 메꾸기로 하였습니다.
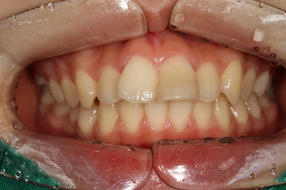
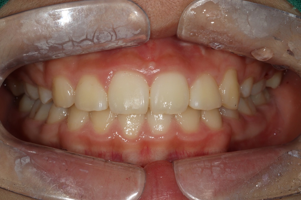
치아가 가지런해졌고, 윗니 치아 사이의 틈도 메꿔졌으며, 치아에 있던 충치도 모두 치료하였습니다.
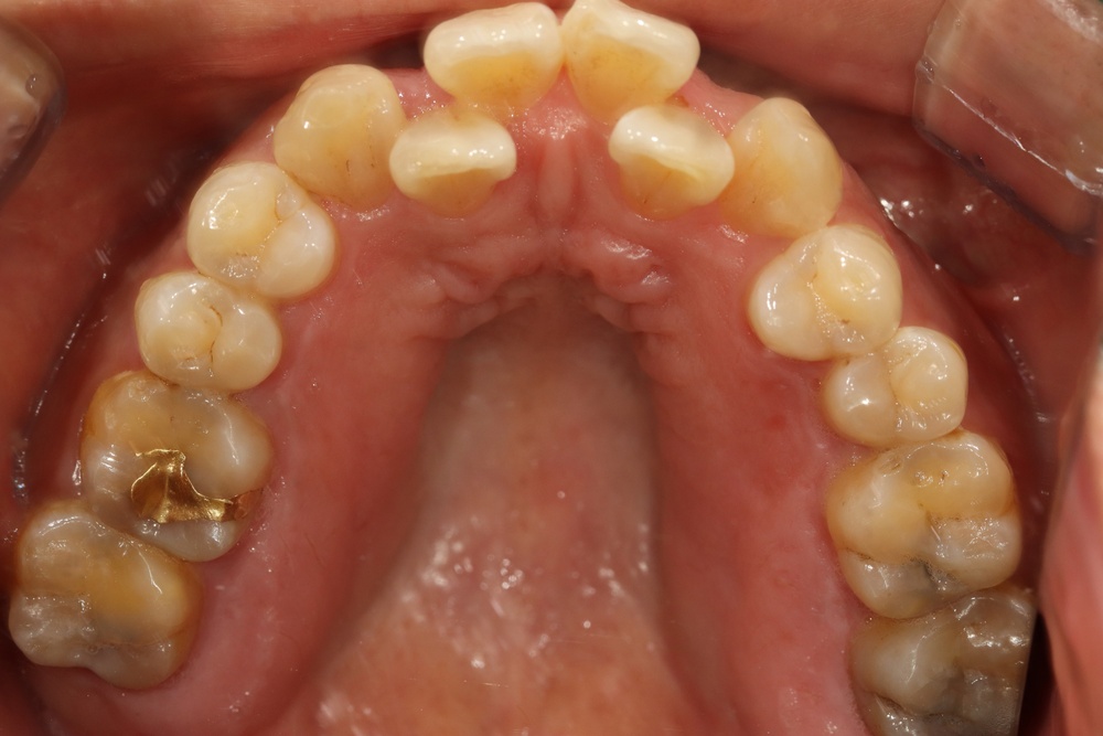
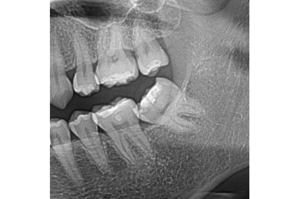
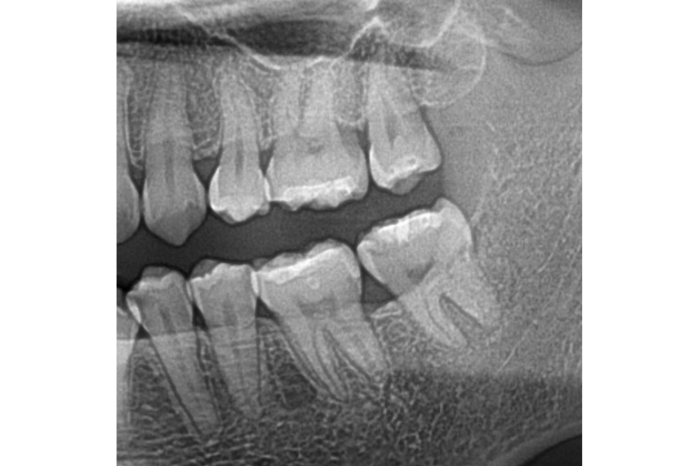
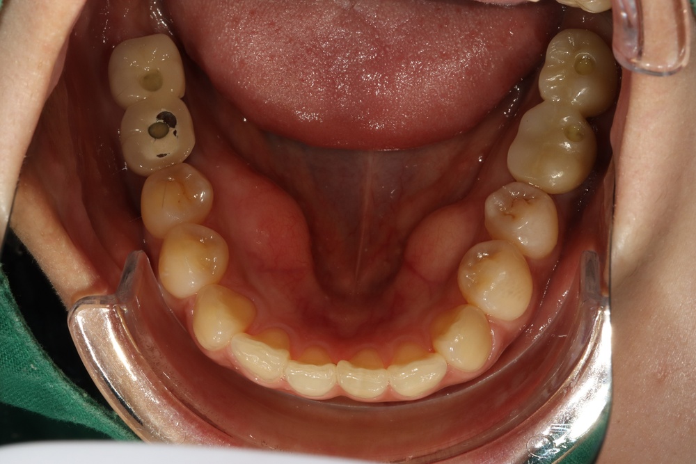
아래쪽 두 번째 어금니(제2대구치)가 선천적으로 없는 결손치로서, 사랑니(제3대구치)가 있으나 앞으로 쓰러져서 잘 안 씹히고 썩어 있습니다.
이런 경우 사랑니를 발치하고 임플란트를 하는 방법도 있으나, 본인 치아를 살리고 싶어하셔서 교정으로 접근하였습니다.
(본원은 교정과 임플란트 모두 다루므로 각 방법의 장단점을 충분히 비교 설명드렸습니다)
부분교정을 통해 누워있던 사랑니를 세웠으나, 씹는 면에 충치가 있습니다.
교정종료 후 보철치료(인레이)를 통해 씹는 기능을 회복시켰습니다.
누워있던 이가 세워져서 음식물이 더 잘 씹히게 되었습니다.
또한 음식물이 끼지 않게 되어 구강위생관리도 원활하게 되었습니다.
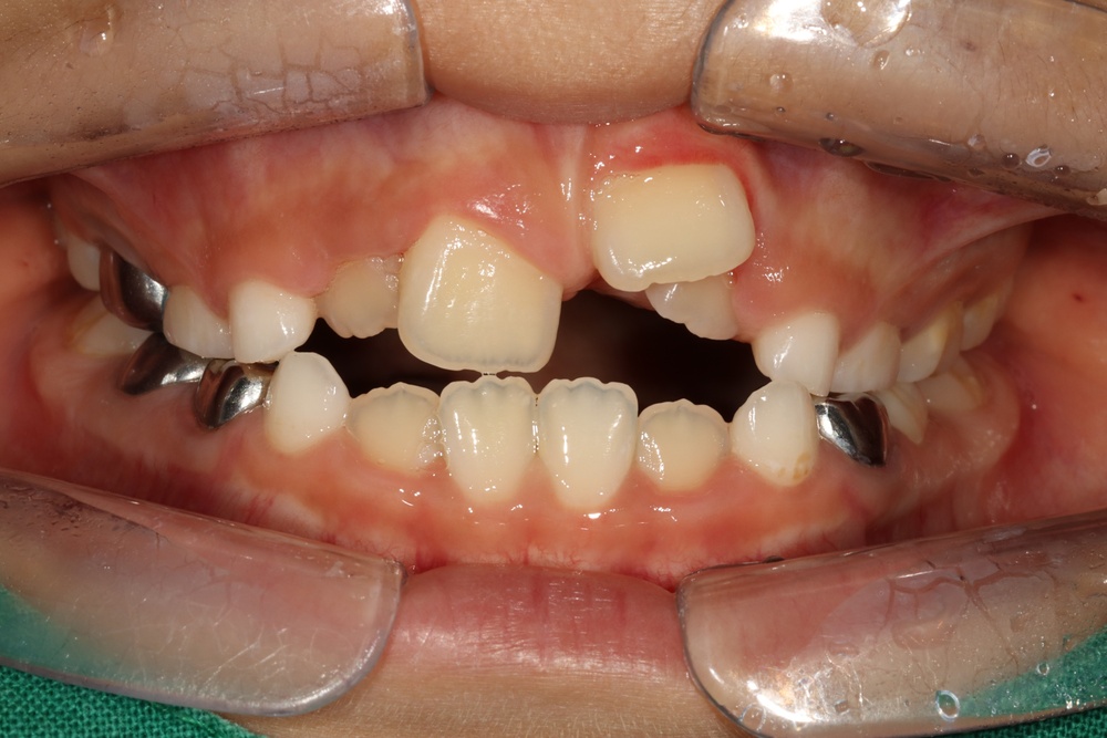
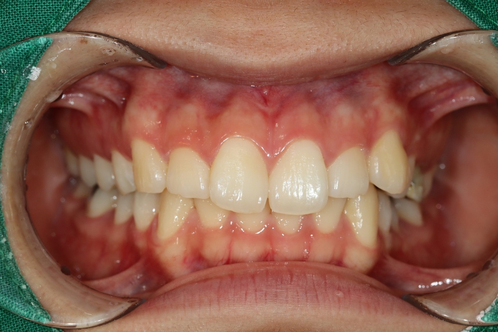
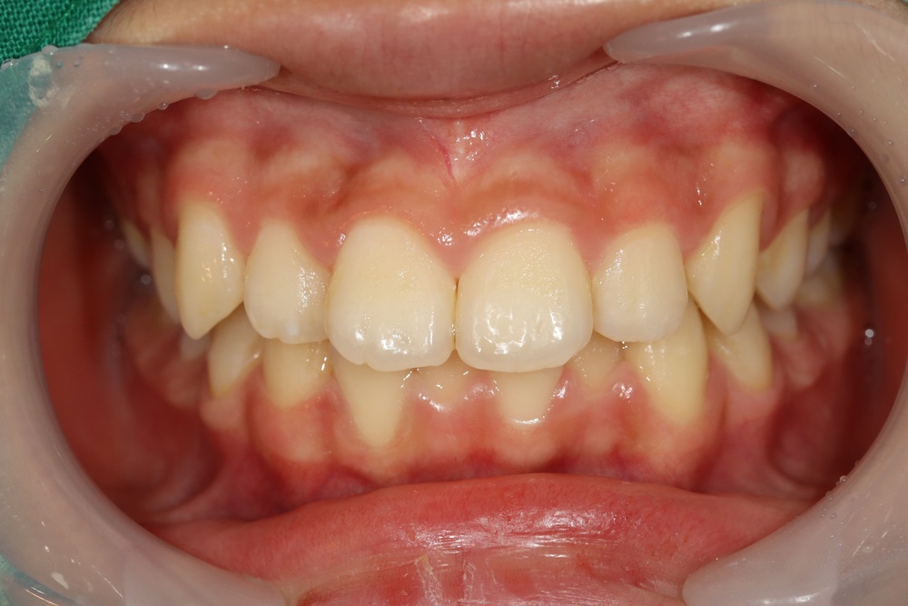
앞니가 비뚤게 나서 교정하러 온 친구입니다.
입천장의 고정식 확장장치를 이용해 좌우로 벌려서 치아를 배열할 공간을 만들었습니다.
그런데 친구가 학교에서 부딪혀서 다쳐 왔습니다.
바로 처치(치아를 철사로 부목 고정)후 신경치료를 진행하였습니다.
이후 치아배열을 마무리하여 가지런한 이를 가지게 되었습니다.
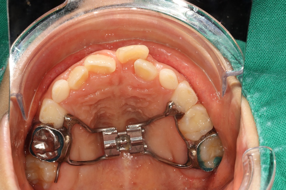
거꾸로 물려요(반대교합), 아래턱이 나왔어요(주걱턱)으로 온 친구입니다.
치료기간을 최소화하려면 이가 좀 더 난 뒤에 시작하는 것이 좋아서, 6개월 정도 기다린 후 페이스마스크와 브라켓 장치료 치료를 시작하였습니다.
중안모의 볼륨이 살아나서 옆모습이 좋아졌고, 이도 가지런해졌습니다.
반대교합이 개선되면 밥먹기 편해지는 걸 아이들도 느끼는 경우가 많은데, 이 친구도 그랬습니다.
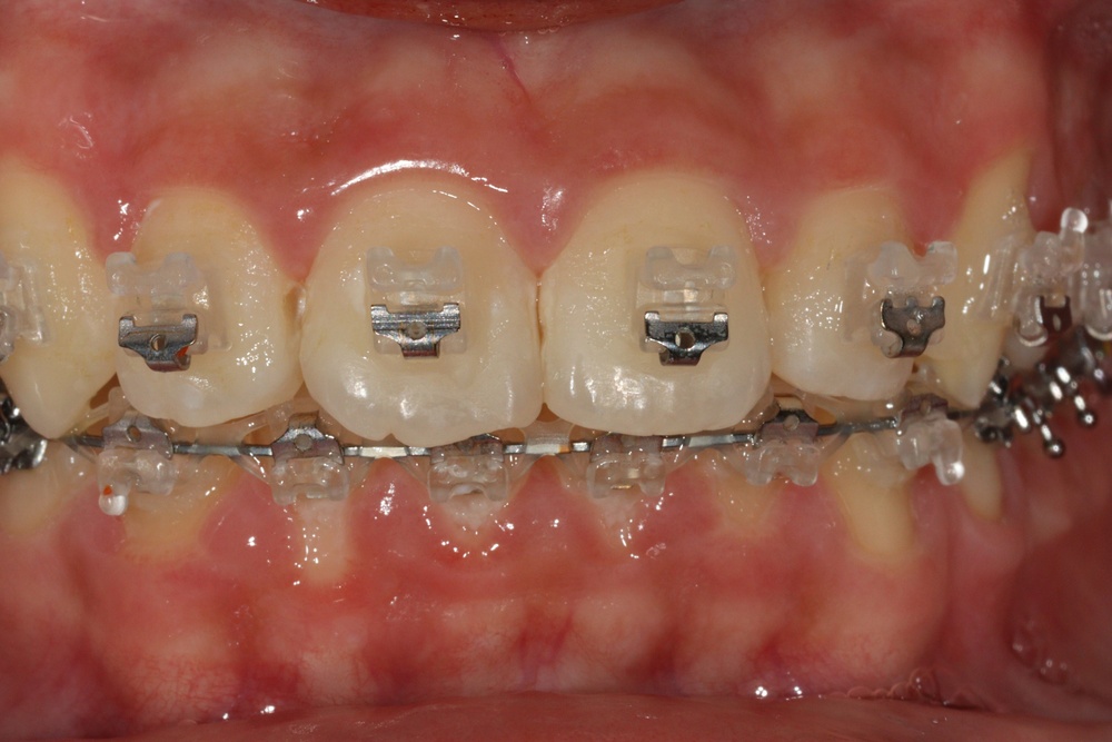
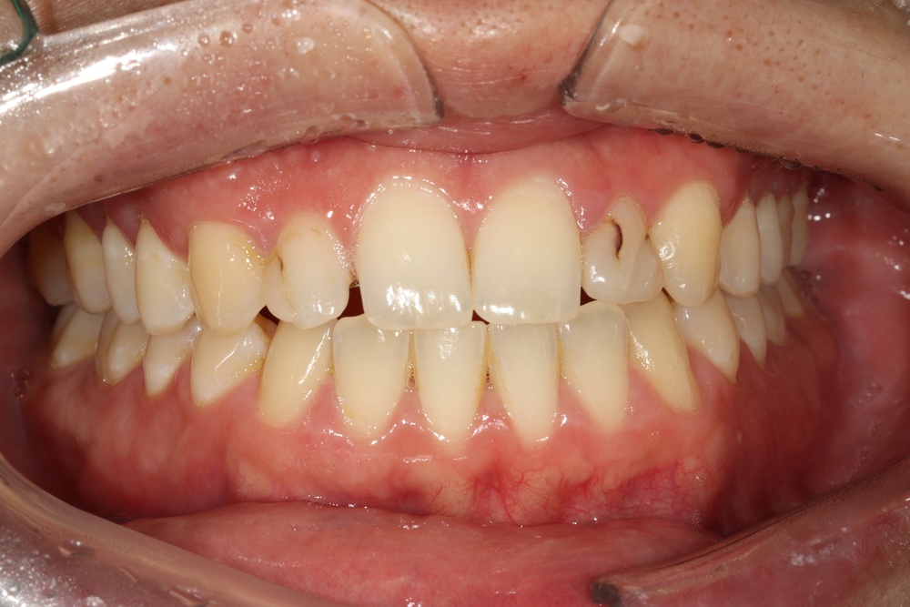
이전에 다쳐서 타치과에서 레진으로 때운 앞니가 시리다고 하셔서 신경치료를 먼저 진행했습니다.
뻗친 앞니를 넣기 위해 위쪽만 작은어금니를 2개 발치하고 공간을 닫았습니다.
교정치료 마무리 단계에서 보철(크라운)을 제작하여 앞니에 끼워드렸습니다.
치료 후 위 앞니가 들어가면서 얼굴모습도 예뻐지고, 앞니로 면을 끊어먹을 수 있게 되었습니다.
앞니 형태와 색상도 이전보다 개선되었습니다.
젊은 여자환자분으로, 아래 임플란트를 심어야 하는데 윗니(대합치)가 내려와 있어 뽑고 위아래로 임플란트를 심어야 한다고 들으셨다고 합니다.
인터넷에 검색해 보니, 교정으로 내려온 이를 올릴 수 있다고 해서 방문해 주셨습니다.
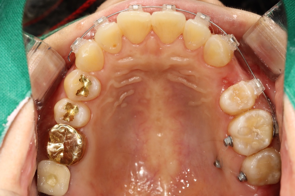
내려온 위 어금니를 올리는 김에, 앞니도 가지런하게 하기로 하고 장치를 붙여 배열하고 있습니다.
이를 끌어올리고 충치치료를 시행하였습니다.
밑에는 임플란트를 심었고, 나머지 충치치치료도 모두 진행하였습니다.
타 치과에서 임플란트 치료중이신 분인데, 교정유지장치 철사(픽스드 리테이너)가 탈락되어서 오셨습니다.
임플란트 진행중인 치과는 교정을 하지 않아서 교정치과로 별도 내원 권유받으셨습니다.
전체 재제작을 위해 기존 유지장치를 제거한 상태입니다.
앞니 잇몸쪽의 벌어짐(블랙 트라이앵글)도 신경쓰인다고 하셔서, 유지장치를 제거하고 레진으로 수복해드리기로 하였습니다.
벌어진 부분을 레진으로 수복하여 틈이 없어졌습니다.
뒤에 교정 유지 철사가 붙어있는 경우 해당치아의 충치치료나 레진빌드업을 위해서는 철사 제거가 필요한 경우가 많습니다.
새로운 교정유지장치 철사도 부착해 드렸습니다.
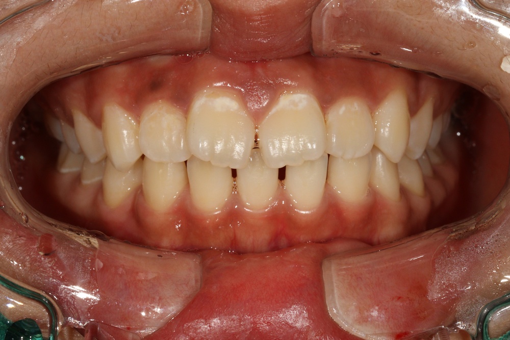
교정 후 왜소치를 레진수복했는데, 벌어지고 변색이 심해서 내원하셨습니다.
벌어진 공간을 교정으로 닫는것보다는 보철로 치아 크기를 키우는 것이 비용과 심미 면에서 유리해 보여서 추천드렷습니다.
치아의 최소삭제 후 라미네이트를 붙인 모습입니다.
보철물 부착을 위해 교정 유지철사도 제거 후 재제작하였습니다.